calitate

consultare

profesionalism

consultare

pret corect

consultare

transparent cost

Detalii

Serviciile noastre

Serviciile pe care le oferim clienților noștri

easy_payment

Tratamentul protetic

Ramura stomatologiei care se ocupă cu realizarea de lucrări protetice este una extrem de vastă și complexă. Cel mai frecvent, lucrările protetice vin din nevoia înlocuirii unor dinți care lipsesc sau pentru a reconstitui estetic și performant dinți cu afectare profundă.
team StillCo

Tratamentul cu implanturi

Implantul dentar este una dintre soluțiile moderne de tratament in cazul absenței unuia sau mai multor dinți.
secure_data StillCo

Laser Dentar

Laserul dentar este o tehnologie inovativă care vine în sprijinul medicului și a pacientului.
secure_data StillCo

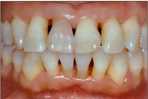
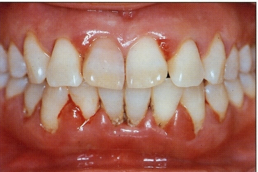
Tratament paradantoza

Boala parodontală este o afecțiune provocată de bacterii, afectând milioane de oameni din întreaga lume. In evolutie, afectează mai întâi gingia si apoi conduce la pierderea osului din jurul dintelui.

CURĂȚARE ULTRASONICĂ

Una dintre cele mai eficiente metode de igienă profesională este îndepărtarea plăcii dentare cu ajutorul ultrasunetelor.

secure_data StillCo

Avantajele metodei:

  • curățarea dinților de orice depuneri: îndepărtează atât placa moale, cât și tartrul dur, inclusiv buzunarele subgingivale greu accesibile;
  • procedura are un efect de vindecare, inhibă dezvoltarea microbilor și reduce inflamația gingiilor.
  • ultrasunetele nu au un efect mecanic asupra smalțului și nu îl deteriorează.

Obțineți sfaturi de la experți!

consultare
alt alt

Despre noi

Sună acum și programează o consultație la specialistul parodontolog pentru un plan de tratament personalizat!

Dr. Enache Maria

Dr. Enache Maria

Medic Stomatologie generala Specialist Parodontologie

Absolventa a Facultății de Stomatologie a Universității “Ovidius” din Constanța, a urmat rezidențiatul în Specialitatea Parodontologie. A fost intens implicata in adoptarea celor mai moderne proceduri din stomatologie inca din perioada studentiei, urmand stagiaturi de practica in unele dintre cele mai performante echipe din Constanta, a participat la organizarea de congrese nationale si internationale in domeniu.

Pe toata perioada activitatii, s-a dedicat educatiei continue in cadrul cursurilor sustinute de lectori de talie nationala si internationala din domeniul parodontologiei, pentru a aduce in prin plan pacientilor sai cele mai bune tratamente pentru problemele dentare.

Principiile Practicii noastre

În cadrul clinicii noastre veți putea beneficia de tratamente moderne într-un cadru plăcut.

Relația medic-pacient.

O bună relație medic pacient este cheia care stă la baza succesului. In cadrul clinicii noastre pacientul este îndrumat, ascultat și înțeles. Fiecare procedură și opțiune de tratament este discutată înamănunt cu pacientul, iar alegerea optimă se decide împreună. Mulți dintre pacienții noștri ajung să vină cu drag la tratament, chiar și persoanele care la început sunt anxioase.

Dezvoltare profesională și personală continuă

Punem accent pe dezvoltarea profesională continuă,astfel încât să vă aducem cele mai moderne și mai sigure opțiuni de tratament. Participarea la cursuri cu lectori de renume din țară și din străinătatene permit să fim la curent cu cele mai inovative tehnici de tratament.

Experiența încadrul Asociației ”Se poate și altfel”, asociație non-profit cu profil de asistență psihologică, încadrul căreia Dr. Enache Maria este vice-președinte, a avut o mare contribuție în dezvoltarea abilităților de consiliere a pacienților cu anxietate

Dr.Enache Maria

signatureM

De ce să aveți încerede în noi?

În cadrul clinicii noastre veți putea beneficia de tratamente moderne într-un cadru plăcut.

Relația medic-pacient.

O bună relație medic pacient este cheia care stă la baza succesului. In cadrul clinicii noastre pacientul este îndrumat, ascultat și înțeles. Fiecare procedură și opțiune de tratament este discutată înamănunt cu pacientul, iar alegerea optimă se decide împreună. Mulți dintre pacienții noștri ajung să vină cu drag la tratament, chiar și persoanele care la început sunt anxioase.

Enache Periodentis

  • calitate
  • profesionalism
  • transparent cost
  • pret corect
  • Obțineți sfaturi de la experți!

    Sunați-ne
    Enache Periodentis

    Ai dureri groaznice de dinți?

    Sună acum și programează o consultație la specialistul parodontolog pentru un plan de tratament personalizat!

    Sunați-ne

    întrebări frecvente

    Prima vizita la Enache Periodentis consta intr-o consultatie, in cadrul careia vi se va pune un diagnostic complex odontal si paradontal, cu ajutorul magnificatiei, pentru ca ulterior sa va fie prezentate optiunile de tratament. Aceasta etapa este foarte importanta pentru constientizarea si cunoasterea, in detaliu, a problemelor de catre pacient. De cele mai multe ori, pentru stabilirea unui diagnostic complex, este necesara realizarea unor radiografii dentare – la recomandarea medicului dentist.

    Dupa caz, prima consultatie poate include o parte dedicata instruirii in privinta igienizarii, in special pentru pacientii copii.

    In unele cazuri, tratamentul poate avea loc in aceeasi zi cu prima consultatie.

    Avem rugamintea ca in timpul primei vizite la clinica noastra sa ne furnizati urmatoarele detalii:

    • lista a medicamentelor pe care le luati la momentul respectiv;
    • problemele de sanatate generala cu care va confruntati.;

    Procedurile de igienă personală a cavității orale trebuie adaptate la nevoile fiecăruipacient, iar în cazul pacientul cu boală parodontală sunt indispensabile unei evoluții bune a tratamentului.

    Igiena orală se efectuează urmand cu strictețe următorii pași:

    Periajul dentar:

  • Frecventa: Se realizează de minim 2 ori pe zi, dimineața – înainte de micul dejun și seara (după care este interzis consumul de alimente sau băuturi – cu excepția apei).
  • Durată: 5 minute
  • Periuță dentară soft/ultrasoft.
  • Tehnică:periuta dentara se pozitioneaza in unghi de 45grade fata de axul dintilor, iar varful perilor se aseaza partial pe gingie. Periutei i se imprima o miscare blandă ”in arc de cerc” si tractiune spre varful dintilor de tipul ”dinspre roz spre alb”. Sunt strict interzise miscarile rotative, miscarile orizontale sau miscarile dinspre ”dinspre alb spre roz”. Pe suprafetele ocluzale ale dintilor (suprafetele cu care muscam) sunt permise miscari rotative, orizontale.